Skip to Content
Seattle Reproductive Psychotherapy
Welcome
All Services
Individual Therapy
Couples Therapy
Consulting
Supervision
Our Therapists
Rates
Contact
Blog
(0)
Cart (0)
Seattle Reproductive Psychotherapy
Welcome
All Services
Individual Therapy
Couples Therapy
Consulting
Supervision
Our Therapists
Rates
Contact
Blog
(0)
Cart (0)
Welcome
Folder: Ways to Work With Us
Back
All Services
Individual Therapy
Couples Therapy
Consulting
Supervision
Folder: About
Back
Our Therapists
Rates
Contact
Blog
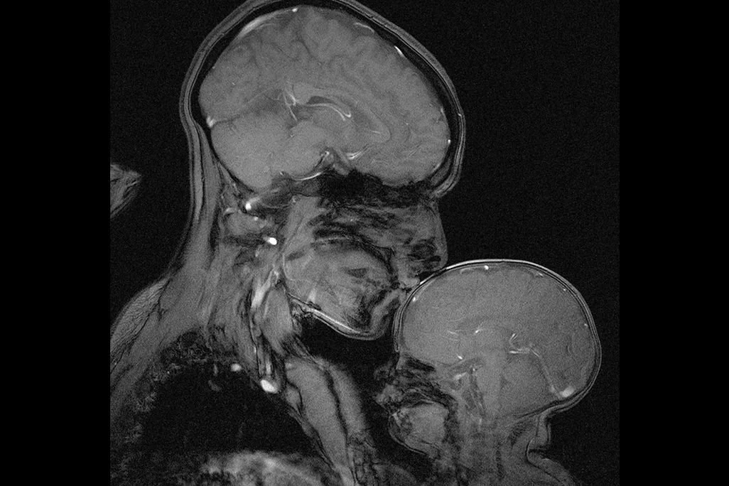
The Pregnant Brain: How Neuroplasticity in Pregnancy and Postpartum Makes Perinatal Therapy The Best Bang For Your Buck
Perinatal Neuroscience emma summer 3/15/26 Perinatal Neuroscience emma summer 3/15/26

The Pregnant Brain: How Neuroplasticity in Pregnancy and Postpartum Makes Perinatal Therapy The Best Bang For Your Buck

This is your brain on pregnancy

Read More

Website by Towards A Better World LLC

Seattle Reproductive Psychotherapy — founded by Emma Summer — supports women, couples, and companies in the Seattle area. We offer CBT, EMDR, and other tools to help you navigate the reproductive season: family planning, fertility, infertility, pregnancy, birth, postpartum, and loss.

Locations

Queen Anne

2120 1st Ave North
Suite 306
Seattle WA 98109

Greenlake

6869 Woodlawn Ave NE
Suite 204E
Seattle WA 98115

Contact

reproductivepsychotherapy@gmail.com

206.972.2088

Privacy Policy

Terms of Service

Disclaimer

Cookie Policy

Privacy Settings